Ординаторская Дамира

Адрес канала: @ordinatorskaya_damira
Категории: Медицина
Язык: Русский
Количество подписчиков: 8.54K
Описание канала:

Место разборов операций и протоколов с практики, здесь то, что не показывают на курсах. Костная пластика, имплантация, осложнения — честно и без воды.
🔷 Автор: Дамир Мухамадиев DICOI, MOI, EAO — имплантолог, владелец клиники ACADEMIA
Подписывайтесь!

Рейтинги и Отзывы

2.33

3 отзыва

Оценить канал ordinatorskaya_damira и оставить отзыв — могут только зарегестрированные пользователи. Все отзывы проходят модерацию.

5 звезд

0

4 звезд

0

3 звезд

1

2 звезд

2

1 звезд

0


Последние сообщения

1 день назад
Я бываю таким тоже играл на играх предпринимателей. Так понравилось, может нам организоваться и поиграть в футбол ?
909 views20:18
Подробнее
Поделиться:
Открыть/Комментировать
2 дня назад
Адская перфорация, пришлось ушивать
905 views14:29
Подробнее
Поделиться:
Открыть/Комментировать
2 дня назад
Коллеги, у нас в клинике один за другим идут интересные клинические случаи:
- Сложная реабилитация мягких тканей
- Сложный синус-лифтинг
- Работа с очень тонкой костной тканью

Планируем прямой эфир из операционной?

Голосуйте
966 views10:09
Подробнее
Поделиться:
Открыть/Комментировать
2 дня назад
Еще не владеете аутокостью / иди на МАТ
1.04K views19:37
Подробнее
Поделиться:
Открыть/Комментировать
2 дня назад
Фрагмент операции, синус-лифтинг
1.04K views16:26
Подробнее
Поделиться:
Открыть/Комментировать
4 дня назад
Коллеги, важная информация для вас

12–13 марта пройдёт практикум по работе с костными блоками и мягкими тканями.

Будет постановка рук и разбор каждого шага под моим контролем. Моя задача – увидеть, как именно вы работаете, и скорректировать то, что мешает в реальной хирургии

Если импланты можно научиться ставить самому, то именно костную пластику лучше тренировать вместе с наставником, кто прошел этот пусть

Вся программа, детали и условия здесь:

https://sbsite.pro//lm_damir2026_tgbot_1
1.07K views13:34
Подробнее
Поделиться:
Открыть/Комментировать
8 янв
Всем привет готовим курс по сосочкам. Упакую все кейсы к апрелю или маю… так что старт обучение примерно в июне. Хочу еще кроме своего контента собрать сильный состав спикеров, чтобы сделать такую программу где все в 1 месте будет.

Кого знаете по сосочкам с красивыми кейсам? (Можно иностранных тоже писать)
898 views12:23
Подробнее
Поделиться:
Открыть/Комментировать
7 янв
Прочитал ваши вопросы под постом выше и разобрал один из них в голосовом формате.

Почему я несколько раз менял импланты за свой счёт, когда проблема была даже не в моей работе? И почему некоторые пациенты теряют эту гарантию?

Делитесь своим подходом в комментариях. Когда вы готовы проявить лояльность или строго по договору?
963 views15:09
Подробнее
Поделиться:
Открыть/Комментировать
7 янв
Все признаки говорят, что 2026 год потребует от нас не меньше, а может, и больше усилий, чем предыдущий.

Вчера я интересовался вашим мнением. Сегодня записал видео, делюсь своей стратегией, исходя из новых условий в этом году
971 viewsedited  11:19
Подробнее
Поделиться:
Открыть/Комментировать
6 янв
Вижу ваши вопросы, сегодня с переменчивой связью Завтра буду в клинике напишу ответы!
1.02K views13:07
Подробнее
Поделиться:
Открыть/Комментировать
6 янв
Начинаем год с одной из самых важных тем. Все говорят о прогнозах.

Теперь ниже – вопрос к вам, коллеги.
Что думаете о ценах на стоматологические услуги в 2026?
913 viewsedited  11:48
Подробнее
Поделиться:
Открыть/Комментировать
5 янв
КОЛЛЕГИ, ПОДАРКИ НЕ ЗАКАНЧИВАЮТСЯ!

Знаете, иногда материал получается настолько огненным и ценным, что им хочется делиться больше. Так и вышло с этой лекцией. Изначально я готовил её исключительно для своего VIP-сообщества, где мы разбираем то, о чем не говорят в открытом доступе.

Но Новый год — время щедрости!
Поэтому решил: «А почему бы не сделать подарок». То, что было платным, теперь ваше в качестве подарка!

ПОЛУЧИВ ЭТОТ МАТЕРИАЛ ВЫ:

– Узнаете ТОП-4 фактора, которые позволяют вам предугадать появление перфорации
– Клинические лайфхаки, как справляться с септами, чтобы не допустить перфорацию Шнейдеровской мембраны
– Дефект дна или стенки синуса - чем опасен?
– Что делать, если возник небольшой/средний/массивный разрыв мембраны?

КАК ПОЛУЧИТЬ МАТЕРИАЛ?

Всё просто. Жмите на кнопку «ПОЛУЧИТЬ ПОДАРОК» ниже, и мы сразу отправим его вам
1.12K viewsedited  13:40
Подробнее
Поделиться:
Открыть/Комментировать
5 янв
Коллеги, новый год – время для планов. Фиксирую свои на 2026

Думаю, список пополнится. А пока фокус – на клинику и практику, но без отрыва от обучения и проф роста.

• Уже собираю материалы по курсу «Сосочки». Объединяю в одном месте самых сильных лекторов, чтобы создать МОЩНУЮ ПРОГРАММУ. Готовьтесь – не раньше апреля

• Запустить шестой кабинет в клинике. Дальше – только загрузка и работа на полную. Да, я рад, по-тихоньку набираем обороты

• Освоить управление яхтой в шторм. Так как помните мою мечту? Выше здесь рассказывал о ней

• Возвращаюсь к блогерству и публичности. Уходил от этого, думал, что медийности среди докторов будет достаточно. Но факт: для развития клиники и пациентов нужно быть публичным

• Готовлю научную работу по слизистой. Моя авторская, доказанная методика «Бутон»

И хочу узнать ваше мнение:
Стоит ли сегодня публиковать серьезные работы в российских изданиях? Или это превратилось в формальность для отчетности, и всё, что имеет ценность, должно сразу уходить в международные издания?
1.14K viewsedited  07:52
Подробнее
Поделиться:
Открыть/Комментировать
4 янв
Небольшая фото-подборка

Праздники с самом разгаре :) Вы как, коллеги?
1.23K views10:18
Подробнее
Поделиться:
Открыть/Комментировать
24 дек 2025
Старт практики по имплантации – так мы учимся!

1/3 дня – мы в деле!
Практикум полностью SOLD OUT

Сегодня для этих докторов — день переворота
Одна цель: переплавить теорию в твёрдые мануальные навыки.
В зале — участники курса «Из стоматолога в имплантолога» 7.0
География докторов широкая!

Именно в таком же формате — живой, плотной работы — проходит и обучение на «Мастер аутогенных тканей»

Мягкотканная пластика
Латеральная и вертикальная аугментация
Работа с костными блоками

Закрываю набор завтра
На тариф с практикой осталось 3 места — 12–13 марта.

Ссылка https://implantology-experts.com/zapros_programmy_mat7?utm_source=tg

Группа уходит. Обучение начинается. Погнали!
527 views09:46
Подробнее
Поделиться:
Открыть/Комментировать
20 дек 2025
Выгрузили на платформу запись вчерашнего эфира

— чтобы вы смогли зайти и посмотреть в любое время

Доступ открывается именной. Ссылку на страницу оставляю ниже

Длительность = 35 минут.
Плотно и по делу!

Что узнаете за это время:

Что на самом деле важно при работе с дефектами во фронте. Какие показания к вертикальной аугментации — а где можно справиться работой с мягкими тканями?
Пару моих рабочих принципов, которые сразу меняют план операции.
Как не усложнить простое и не испугаться сложного.

Доступ сохраняю на 7 дней, потом закрою. Успевайте.
879 views12:17
Подробнее
Поделиться:
Открыть/Комментировать
20 дек 2025
Вчера пришлось внезапно уйти с эфира – такой вот резкий пит-стоп случился)

Понадобилось срочно отлучиться к пациентке. Поэтому спасибо каждому, кто был в эфире и отнесся с пониманием!

За время эфира успел разобрать:
• 2 моих ключевых кейса по реконструкции фронтальной зоны
• и как пришёл к эстетики во фронте через работу с мягкими тканями

Запись уже на монтаже. Выложу её сегодня в канале – будет так же структурно, только без внезапного исчезновения ведущего
831 viewsedited  08:12
Подробнее
Поделиться:
Открыть/Комментировать
19 дек 2025
Коллеги, вынужден бежать к пациенту с недавней живой операции, на которой многие из вас тоже присутствовали!

Пишите в комментарии свои вопросы — отвечу после приема

Спасибо всем кто был на эфире!
962 viewsedited  15:44
Подробнее
Поделиться:
Открыть/Комментировать
19 дек 2025
Сейчас делюсь процессом вертикальной аугментации, но уже через некоторое время продемонстрирую финал лечения этого кейса участникам «Мастер аутогенных тканей»
940 viewsedited  15:40
Подробнее
Поделиться:
Открыть/Комментировать
19 дек 2025
Мы в ЭФИРЕ! LIVE

Мы только что стартовали. Подключайтесь к прямой трансляции по ссылке ниже.

ВАЖНО: пройдите корректную авторизацию. Если ссылка не работает или возникают сложности – пишите сразу в чат, мы поможем

https://masterboneaugmentation.ru/pl/webinar/show?id=3229875

Жду вас внутри!
912 views15:12
Подробнее
Поделиться:
Открыть/Комментировать
19 дек 2025
Live stream finished (3 minutes)
15:12
Подробнее
Поделиться:
Открыть/Комментировать
19 дек 2025
Live stream started
15:09
Подробнее
Поделиться:
Открыть/Комментировать
19 дек 2025
Респект Все получилось, поэтому включаю Обратный отсчёт – 1 ЧАС до старта!

Ссылка на трансляцию здесь
https://masterboneaugmentation.ru/pl/webinar/show?id=3229875

Жду тех, кто уже решает эти задачи, и тех, кто только готовится к ним
940 viewsedited  14:02
Подробнее
Поделиться:
Открыть/Комментировать
19 дек 2025
Поставили уже свою отметку ЗА?
Если мы не наберём 100 реакций — вечер у всех будет свободным, а эфир... увы, отменится

Голосовать здесь: https://t.me/ordinatorskaya_damira/5614
1K viewsedited  09:52
Подробнее
Поделиться:
Открыть/Комментировать
18 дек 2025
Собрал пару кейсов на разбор

Это, кстати, будет такой ПЕРВЫЙ мой эфир с разбором кейсов во фронте и именно работы с сосочками и мягкими тканями  

Обычно такого не делал…
Долго думал кстати, стоит ли вообще с этой темой выходить, так как я больше у всех ассоциируюсь с костными блоками, аугментациями… Но наши результаты в эстетике говорят сами за себя. Я попробую…

План на завтра:
Клиническое мышление при работе во фронте. У меня оно немного отличается от многих коллег, кто выступает с этой темой.
Мой взгляд на возможности ортопедии, какие результаты она может дать в практике
Вертикальные дефекты и сосочки… какие методики есть, чтобы компенсировать нехватку объема!

Такой внеплановый эфир получается…
Обычно именно в таком формате лучше всего заходит!

ЗАВТРА в 18:00 МСК
ПРИМЕРНО на 1 ЧАС

Отметьтесь ниже в опросе, кто точно завтра сможет быть на живом общении
1.12K views13:31
Подробнее
Поделиться:
Открыть/Комментировать
8 дек 2025
Коллеги, всем привет!  

Наконец-то вернулся домой из поездки - отдых вышел и классным, и продуктивным. 

Но больше всего я скучал по своей клинике ACADEMIA, и конечно, команде, поэтому первым делом сразу приехал сюда 

Как уже писал, во время моего отсутствия случился потоп…
Сейчас начинаю разбираться со всей ситуацией - работы предстоит немало

Спасибо каждому за поддержку, сообщения, истории, всё видел, правда очень приятно.
Буду держать вас в курсе, как идут дела
434 views14:05
Подробнее
Поделиться:
Открыть/Комментировать
7 дек 2025
Самое опасное в хирургии — добиться успеха в клинической практике и не понять, ПОЧЕМУ так вышло
957 views13:03
Подробнее
Поделиться:
Открыть/Комментировать
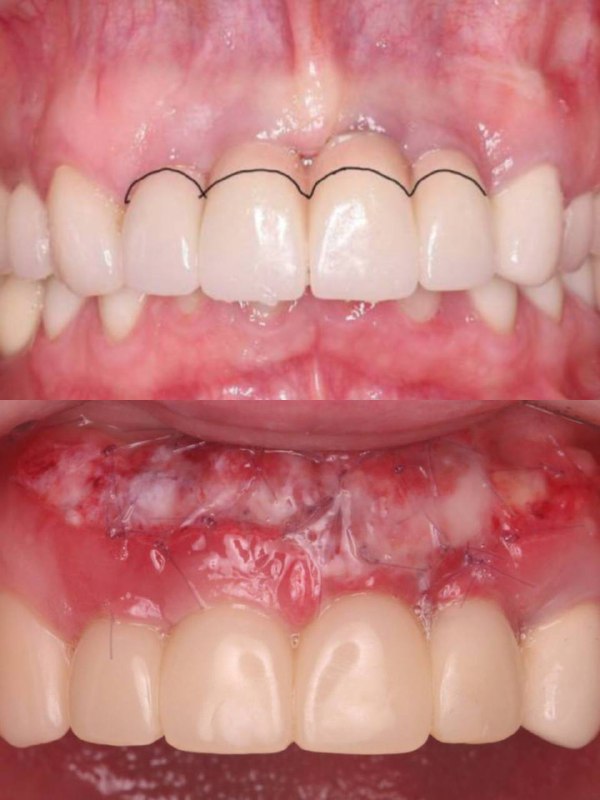
6 дек 2025
Коллеги, хочу показать вам работы моего ученика — Александра Синякова.

Очень крутой хирург. Такие работы по закрытию рецессий делает… просто кайф смотреть

Я всегда радуюсь, когда вижу, как ребята растут. Чистая техника, аккуратность, понимание мягких тканей. То что нужно

И хорошая новость. В декабре он будет читать лекцию по рецессиям у нас в VIP-ке. Так что тем, кто уже там, повезло! Не пропустите, будет мощно

Саша, красавчик  Сам приду тоже на лекцию
1.18K views10:08
Подробнее
Поделиться:
Открыть/Комментировать
6 дек 2025
Все …Домой
1.15K views01:11
Подробнее
Поделиться:
Открыть/Комментировать
4 дек 2025
На обучении по яхтингу встретил профессора Чикунова.

Вспомнили прошлогодний опыт в Атлантике.

Ловили пяти-метровые волны, смотрели на горизонт, который прыгает на 35-45 градусов, было мощно!
Тогда всем управлял капитан, а мы выполняли команды

Теперь всё иначе.
Решили, что пора самим стать капитанами. Учимся манёврам и швартовке, навигации и работе с командой, координации

Забавно, но в море и в жизни правила одни
1.53K views16:03
Подробнее
Поделиться:
Открыть/Комментировать